Website 
 
Instagram 
 
LinkedIn 
 
X
 
 
 
 

Dear colleagues,

We began 2025 on a high note with exciting developments, including new project grants and impactful publications in prominent journals from RUDiP members (Rare and Undiagnosed Platform).  We extend our warmest congratulations to all colleagues on these achievements - you can find the list of publications and awards below.

In the first quarter of 2025, we organized various events focusing on the theme Advanced Technologies in Rare Disease and  hosted multiple events to raise awareness and support Rare Disease Day, while also participated in numerous other initiatives around Türkiye.

One of our key highlights was the Rare Hackathon, held on Rare Disease Day, which aimed to establish a lasting connection between rare diseases and young scientists. As the first competition of its kind in Türkiye, the Rare Hackathon garnered significant interest from students in health and life sciences. You may visit our website to learn more about this exciting event.

Thank you for being a part of this growing community dedicated to making a difference in the field of rare diseases. We look forward to continuing this journey together, with new ideas, stronger collaborations, and even greater impact in the months ahead.

 
 
 
 

Highlights from RareBoost

 
 
 
 
 

In January, we had the honor of hosting the FUSion Team, the winners of TEKNOFEST 2024’s Biotechnology Innovation Competition. They presented their award-winning project on developing an shRNA-AAV9 vector-mediated therapy targeting pathogenic FUS mRNA in ALS patients. The audience included members of various student associations from multiple universities in İzmir. To read more, click here. 

 
 
 
 
 

On January 24, we organized a collaborative event with Sidra Medicine at IBG. The event was honored by the presence of Prof. Bayram Yılmaz, IBG Director and DEU Rector, and Prof. Khalid A. Fakhro, Chief Research Officer of Sidra Medicine. To read more click here

 
 
 
 
 

The RareBoost team worked hard to organize a series of events throughout February to increase awareness and address the challenges in the rare disease world. We  began February by hosting the Epigenetics in Rare Disease Symposium 2025  for the first time in Izmir during which prominent experts, including Dr. Siddharth Banka from the University of Manchester, Dr. Stefan Barakat from Erasmus MC, and Dr. Serap Erkek from IBG, delivered keynote speeches on how epigenetic modifications impact diagnosis, disease progression and treatment potential. To read more, click here. 

 
 
 
 

We also hosted  Therapeutic Technologies for Rare Disease Symposium under the theme of Advanced Technologies in Rare Disease month events as of Dr. Karin Winter de Groot, Dr. Sedat Nizamoğlu, Dr. Özlem Yeşil Çeliktaş, and Dr. Ayşegül Doğan presented their work on different models that hold the potential to transform the search for rare disease treatments.

 
 
 
 
 

 We organized Rare Hackathon for Rare Disease Day. The Rare Hackathon was held for the first time in Türkiye, and we hope it sets an example for raising awareness and increasing interest in rare disease research among young scientists. In the Rare Hackathon, students had the opportunity to experience firsthand the challenges faced in RD research, diagnosis, and treatments. To learn more, click here

 
 
 
 

In March, we conducted the ‘Unifying Multiomics: Bridging the Gaps’ Symposium &Workshop, where experts presented the latest technologies in genomics, including in long-read sequencing, optical genome mapping and RNASeq. In the workshop session, the participants learned to use Oxford Nanopore Technologies long-read sequencing platform for SMA diagnostics.

 
 
 
 

In the first three months of 2025, we had the privilege of hosting distinguished speakers from the rare disease scientific community under the RareBoost Seminar Series.  First, Assoc. Prof. Can Dinçer shared insights on Disposable Sensors under the theme of Advanced Technologies in Rare Diseases Months events. We then learned from the incredible effort of Assoc. Prof. Salman Kirmani for rare disease research in Pakistan. Last but not least, Prof. Rumen Stefanov presented Bulgaria’s current approach to rare disease policies.

 
 
 
 

We have  launched the ‘𝗢𝗿𝗽𝗵𝗮𝗻𝗲𝘁 𝗿𝗮𝗿𝗲 𝗱𝗶𝘀𝗲𝗮𝘀𝗲 𝗻𝗼𝗺𝗲𝗻𝗰𝗹𝗮𝘁𝘂𝗿𝗲 (𝗢𝗥𝗣𝗛𝗔𝗰𝗼𝗱𝗲) 𝘁𝗿𝗮𝗶𝗻𝗶𝗻𝗴’ on RareBoost website 𝗶𝗻 𝗧𝘂𝗿𝗸𝗶𝘀𝗵! Orphanet  maintains the ORPHAcodes, which assigns a specific code for each rare disease, improving the visibility of rare diseases in health and research information systems. OrphaCode training covers general information on ORPHA-codes and Orphanet classifications of rare diseases.

The training is available in Turkish in the RareBoost website and can be accessed here.

 
 
 
 
 
 
 

IBG- Nadir Club Activities

 
 
  
 
 

IBG Nadir (Rare and Undiagnosed Research and Communication Club) kicked off 2025 with series of impactful events. In January, we gathered to watch the heart touching documentary ‘Diagnosis' at the cinema day event. Informative content created on various rare disease awareness days each month. Also, an image competition was organized for Rare Disease Day (RDD)  attracting many participants and winners were announced on RDD. You may follow them on their Instagram 

 
 
 

In February, IBG Nadir organized a rare disease research image competition, under the theme: “Capturing the Moment of Rare Disease Research.” The winners were announced on February 28th, Rare Disease Day.

 
 
 
 
 
 
 
 

1st place: Irmak Sakin – Medical Doctor, Acibadem University 

Her image reveals the cc2d1a-depleted enlarged, dysplastic kidneys in Xenopus laevis embryo, closely mirroring patient’s phenotypes observed in rare kidney disorders.

 
 
 
 
 
 
 
 

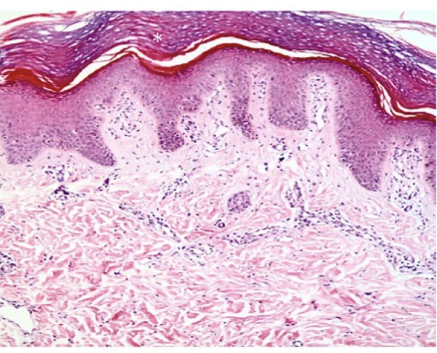
2nd place: Prof. Dr. Sehime Gulsun Temel  Bursa Uludağ University

The histologic image submitted by her captures the microscopic signature of PLACK syndrome, a rare genetic skin disorder caused by mutations in CAST gene.

 
 
 
 
 
 
 
 

3rd place: Nurdeniz Nalbant Bingöl – Bursa Uludağ University

The image shows the CC2D1A protein network crucial for neurodevelopment. The GLN506ARG mutation disrupts its allosteric network, impairing structure and dynamics, leading to rare diseases like autism, seizures, and ciliary dysfunction.

 
 
 
 

Upcoming Events 

 
 
 
 

April 9: Rare and Undiagnosed Disease Patient Advisory Board Meeting

April 15: IBG-T&T session by Dr. Ezgi Karaca: The AI Revolution in Structural Biology: Chemistry Nobel Prize 2024 Register here

April 25: IBG RareBoost Seminar: Prof. Devrim Gözüaçık

May:  Pulmonary Arterial Hypertension(PAH) Patient Meeting (TBA)

June: CDKL5 Meeting (TBA)

November: Early registration is open for the 17th ICORD Meeting which will take place from November 14-16 at the 9 Eylül Sabancı Cultural Center in Izmir, Turkey.  For more information, please visit: icord2025.com

 
 
 
 

Highlights from the Rare and Undiagnosed Diseases Platform (IBG-RUDiP)

 
 
 
 

Selected Publications

 
 
 
 

Dysregulation of mTOR signalling is a converging mechanism in lissencephaly.

Nature, January 2025

Zhang et al. including RUDiP member Prof. A. Okay Caglayan.

 
 
 
 

Management of rare and undiagnosed diseases: insights from researchers and healthcare professionals in Türkiye.

Front. Public Health, January 2025 

Sinem Durmus, Emrah Yucesan, Sinem Aktug, Begum Utz, Ahmet Okay Caglayan, Pinar Gencpinar, Cagatay Günay, Yavuz Oktay, Ravza Nur Yildirim, Ayca Yigit, Ugur Ozbek.

 
 
 
 
 
 

Genomics of rare diseases in the Greater Middle East. 


Nature Genetics, March 2025

Chekroun I, Shenbagam S, Almarri MA, Mokrab Y, Uddin M, Alkhnbashi OS, Zaki MS, Najmabadi H, Kahrizi K, Fakhro KA, Almontashiri NAM, Ali FR, Özbek U, Reversade B, Alkuraya FS, Alsheikh-Ali A, Abou Tayoun AN.


 
 
 
 
 
 
 

Successful Funding Applications

 
 
 

Ayşe Semra Hız

TUBITAK 1001 - Scientific and Technological Research Projects Support Program:  Evaluation of the Ameliorative Effects of Small Molecules Identified by Multi-Omics Analysis on Mitochondrial Defects Due to PTPMT1 Absence in PTPMT1 Knockout Neural Precursor Cells and Zebrafish Models

Gülçin Çakan Akdoğan

TUBITAK 1001 - Scientific and Technological Research Projects Support Program:  Investigation of the Role of Keratan Sulfate Proteoglycans in the Central Nervous System in the Chst6 Mutant Zebrafish Model

Esra Erdal

TUBITAK - Italy National Research Council (CNR) Bilateral Cooperation Programme: Exploring Therapeutic Strategies for cblC Disease: Italy-Turkey Collaboration (EXIT)

 
 
 
 

Visit our website and follow us on social media to stay up to date with our activities.

 
 
 
Website 
 
LinkedIn 
 
Instagram 
 
X
 
 
 
 

Mithatpaşa Cad. 58/5 Balcova, Izmir/Türkiye

For more information: rareboost@ibg.edu.tr

Want to change how you receive these emails?

Unsubscribe • Update Email Preferences • View Online

 
 
Direct Mail for Mac This email is powered by Direct Mail for Mac. Learn MoreReport Spam